Магнитно-резонансный томограф Philips Ingenia Ambition 1.5T X — высокопольная цифровая система для экспертной МР-диагностики
Philips Ingenia Ambition 1.5T X относится к поколению МР-систем с герметичным магнитом BlueSeal, спроектированным для работы с минимальным объёмом криогена и без традиционной зависимости от гелиевой инфраструктуры. Полностью цифровая архитектура dStream обеспечивает оцифровку сигнала на стороне катушек и передачу данных по высокоскоростному цифровому тракту, что повышает отношение сигнал/шум и позволяет получать однородные диагностические изображения при обследованиях головного мозга, позвоночника, суставов, органов грудной и брюшной полости, малого таза и всего тела. Концепция упрощённой установки и эксплуатации снижает требования к инженерной подготовке помещения и помогает сократить сроки ввода системы в работу, что особенно актуально при модернизации существующих кабинетов МРТ.
Встроенные инструменты автоматизации рабочего процесса — управляемая установка пациента у гентри, интеллектуальное планирование исследований, протоколы с поддержкой имплантов и набор клинических пакетов для неврологии, онкологии, кардиологии и опорно-двигательной системы — позволяют стандартизировать исследования и уменьшить влияние человеческого фактора. Технологии ускорения сканирования SmartSpeed и Compressed SENSE помогают значительно сократить длительность стандартных МР-протоколов или, при необходимости, повысить пространственное разрешение без пропорционального увеличения времени исследования. Интеграция с ИТ-инфраструктурой ЛПУ по DICOM и сетевому Ethernet, а также поддержка сервисных опций удалённого мониторинга делают Philips Ingenia Ambition 1.5T X эффективным решением для центров с высокой загрузкой и жёсткими требованиями к стабильности сервиса и прогнозируемости затрат.
Особенности
- Герметичный магнит BlueSeal с гелиево-свободной эксплуатацией, снижающий зависимость от криогенной инфраструктуры и риски, связанные с обращением с гелием.
- Цифровая архитектура dStream с оцифровкой сигнала в катушке и цифровым трактом до реконструктора для повышения отношения сигнал/шум и воспроизводимости качества изображений.
- Широкий просвет гентри и эргономичный стол пациента, ориентированные на комфорт обследуемого и снижение количества артефактов движения.
- Интеллектуальный рабочий процесс с управляемой установкой пациента у гентри и пошаговыми подсказками для оператора, что уменьшает время подготовки исследования.
- Поддержка технологий ускорения SmartSpeed и Compressed SENSE для значимого сокращения длительности стандартных 2D/3D протоколов МР-исследований.
- Широкий набор клинических приложений для нейрорадиологии, онкологических, сердечно-сосудистых и ортопедических исследований, а также обследований всего тела.
- Инструменты работы с пациентами с имплантами и стандартизации протоколов, способствующие повышению безопасности и снижению вариабельности настроек.
- Интеграция в цифровую инфраструктуру ЛПУ (PACS/RIS) через DICOM и сетевые интерфейсы, поддержка современных сценариев хранения и обмена изображениями.
- Возможность расширения функционала за счёт программных опций и обновлений, обеспечивающих актуальность системы на протяжении всего жизненного цикла.
- Соответствие международным стандартам безопасности и электромагнитной совместимости медицинского оборудования.
Технические характеристики
| Параметр | Значение |
|---|---|
| Производитель | Philips Medical Systems |
| Страна бренда | Нидерланды |
| Модель | Philips Ingenia Ambition 1.5T X |
| Тип / класс системы | Высокопольный магнитно-резонансный томограф 1,5 Тл, закрытого типа, для обследования всего тела |
| Напряжённость магнитного поля | 1,5 Тл |
| Тип магнита | Сверхпроводящий герметичный магнит BlueSeal с гелиево-свободной эксплуатацией |
| Диаметр тоннеля для пациента | Около 70 см |
| Максимальное поле обзора (FOV) | До 50–55 см |
| Градиентная система | Высокопроизводительные градиенты для 1,5 Тл-системы Ingenia Ambition |
| Максимальная амплитуда градиентов | До 45 мТ/м |
| Максимальная скорость нарастания градиентов | До 200 Т/м/с |
| Архитектура приёмопередающей системы | Полностью цифровая архитектура dStream, аналого-цифровое преобразование в катушках |
| Стол пациента | Моторизованный стол с автоматизированным позиционированием |
| Максимальная масса пациента | До 250 кг |
| Монитор рабочей станции | Цветной монитор высокого разрешения; диагональ уточняется по ТЗ и поставочной спецификации |
| Интерфейсы и коммуникации | Сетевое подключение по Ethernet, поддержка протокола DICOM, экспорт данных на внешние носители |
| Питание | Подключение к трёхфазной сети через выносной силовой шкаф; параметры питающей линии определяются проектом электроснабжения |
| Сетевое напряжение / частота | Уточняется по техническому заданию и действующей спецификации производителя |
| Габариты системы (Ш×В×Г) | Уточняются по проектной документации и схемам размещения Philips Ingenia Ambition 1,5 Тл |
| Вес системы | Уточняется по техническому заданию и проектной документации |
| Соответствие стандартам | Соответствие международным стандартам безопасности и ЭМС медицинского оборудования (например, IEC 60601-1, IEC 60601-2-33) |
| Код КТРУ | 26.60.12.131-00000034 (окончательное соответствие — по ТЗ и действующему РУ) |
| Код ОКПД2 | 26.60.12.131 |
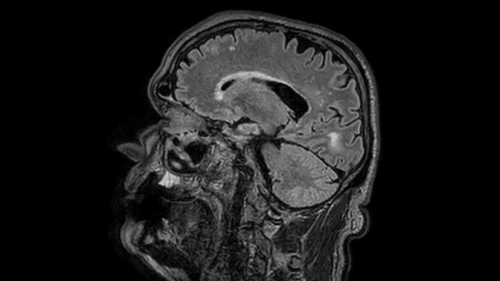
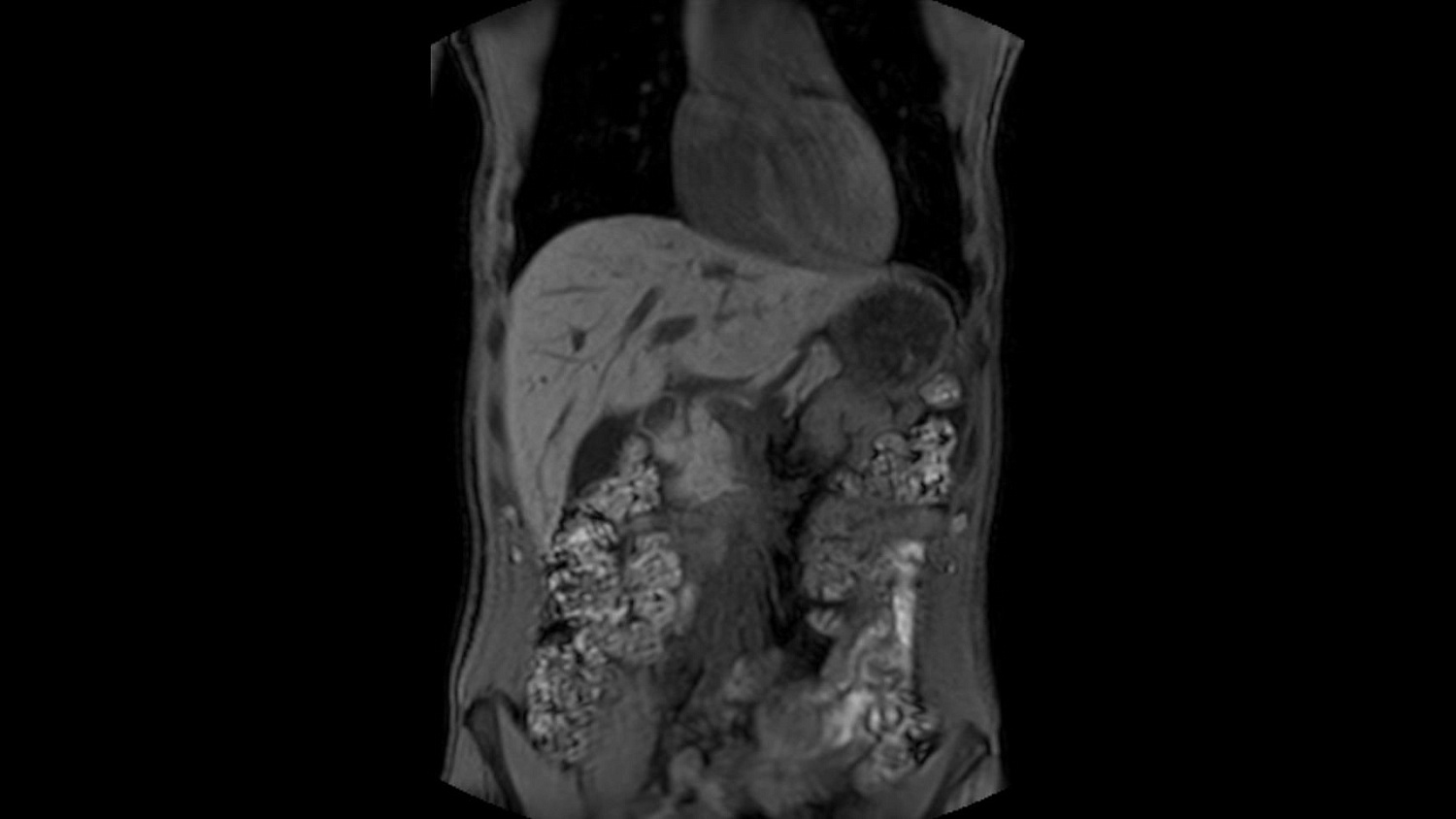
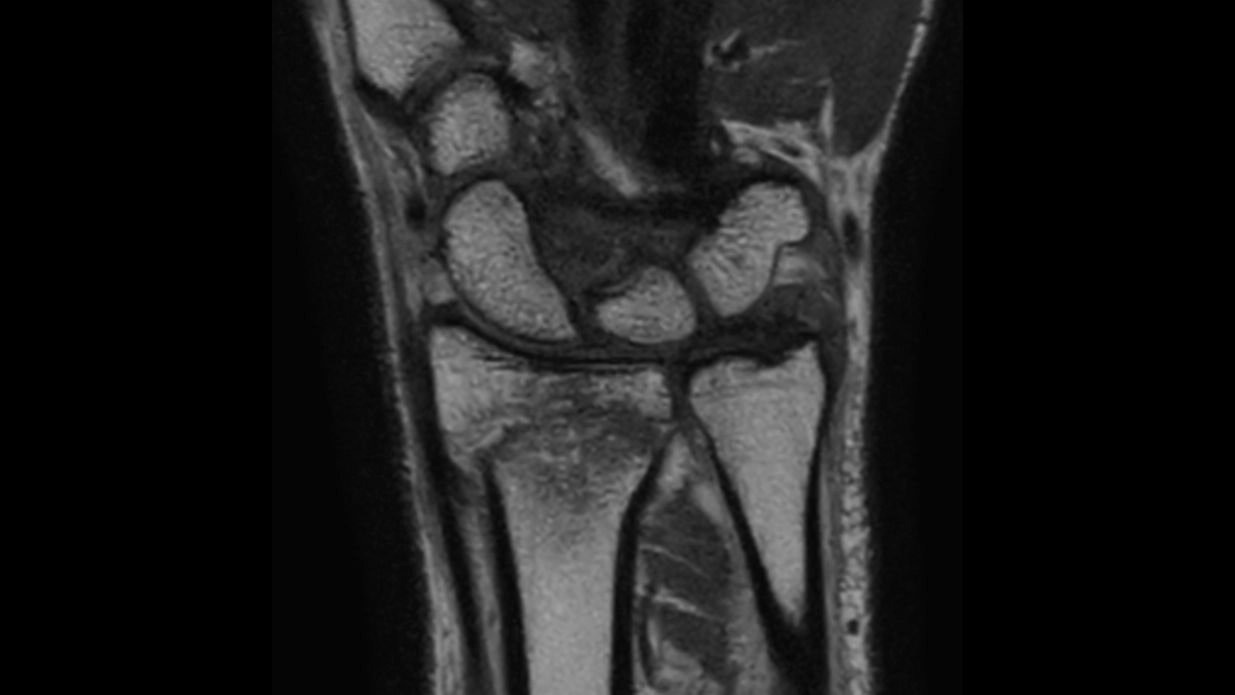
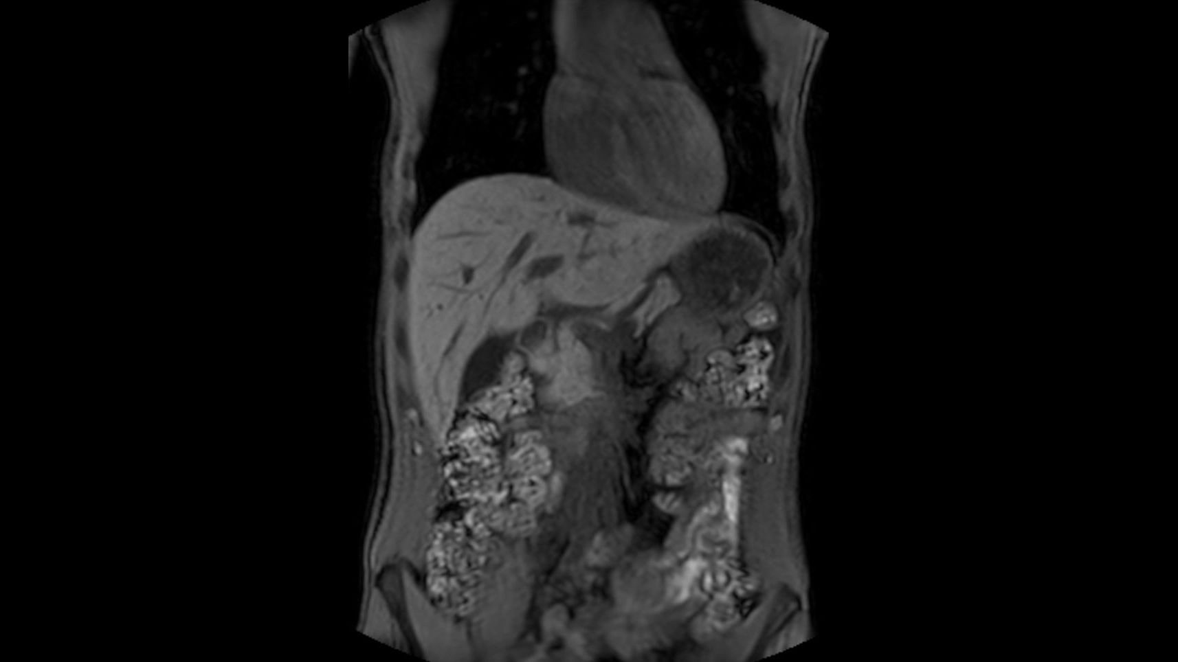
Режимы сканирования
| Режим | Описание |
|---|---|
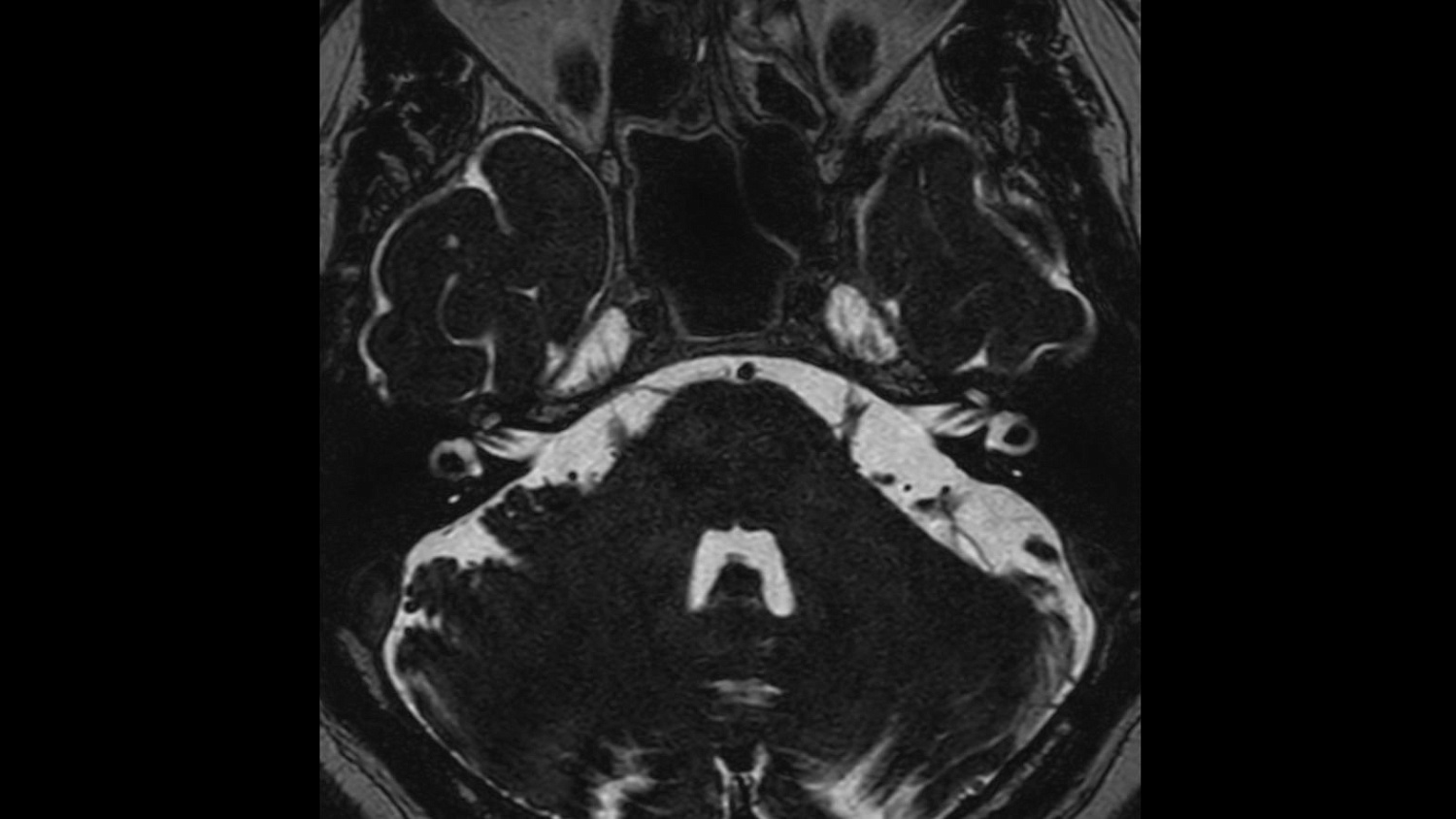
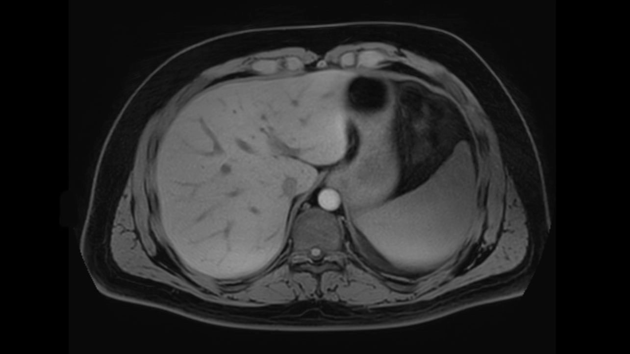
| Т1-взвешенные последовательности | Стандартные спин-эхо и быстрые Т1-протоколы для анатомической визуализации, оценки структуры головного мозга, органов и мягких тканей. |
| Т2-взвешенные последовательности | Повышенная чувствительность к жидкости и отёку для поиска воспалительных, дегенеративных и объёмных процессов в различных анатомических зонах. |
| FLAIR-последовательности | Подавление сигнала от спинномозговой жидкости при сохранении контраста патологических очагов в белом и сером веществе головного мозга. |
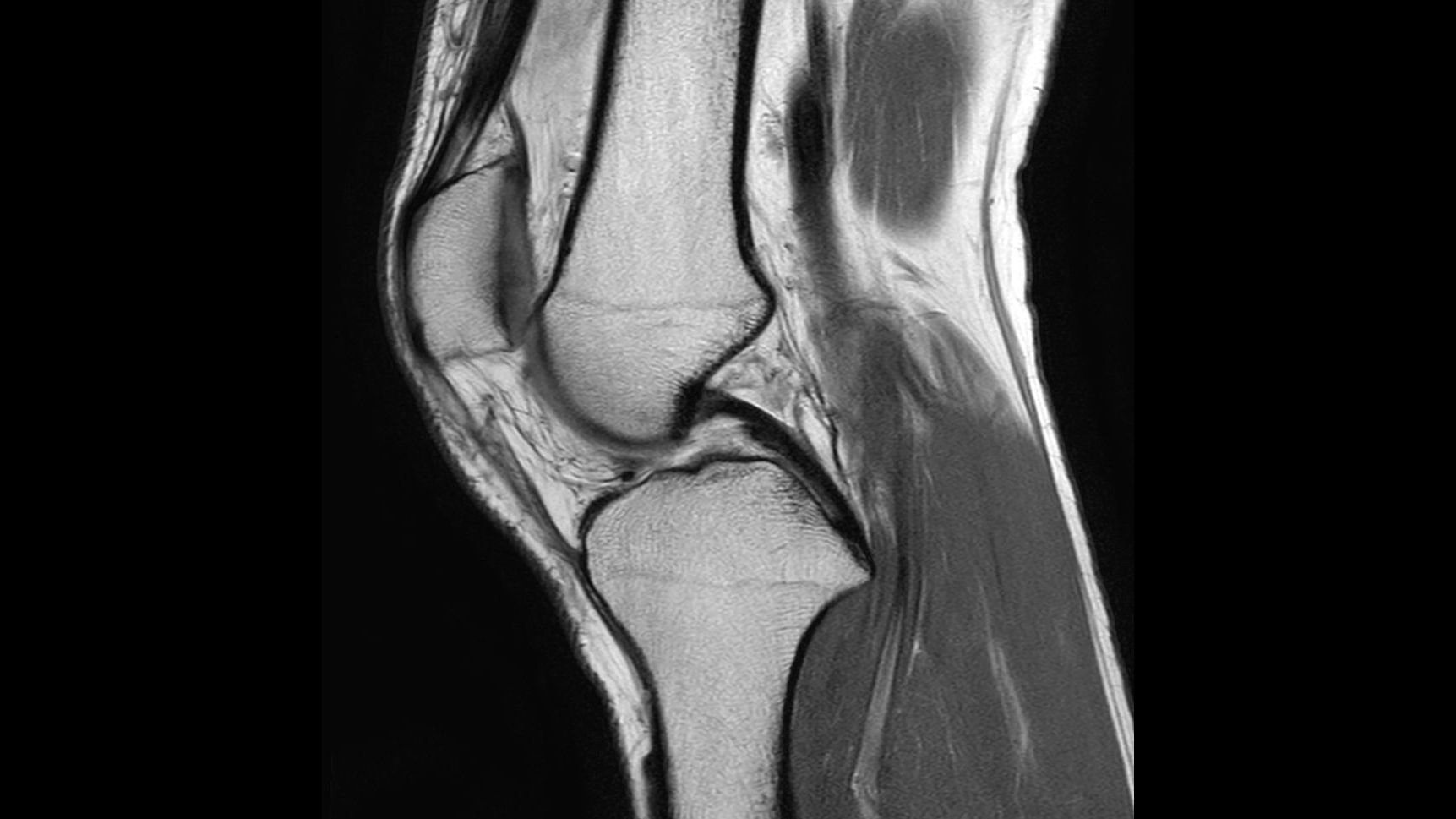
| STIR и жироподавление | Режимы подавления сигнала от жировой ткани для повышения контраста при исследованиях костно-суставной системы и мягких тканей. |
| DWI (диффузионно-взвешенная МРТ) | Оценка диффузии воды в тканях для ранней диагностики ишемических инсультов, опухолей и воспалительных изменений. |
| DTI (диффузионно-тензорная МРТ) | Построение трактографии и анализ проводящих путей головного мозга для нейрохирургического планирования и оценки повреждений. |
| GRE / T2* | Градиентно-эховые режимы для визуализации сосудистых структур, продуктов крови и микрокровоизлияний. |
| МР-ангиография (MRA) | Бесконтрастные и контрастные протоколы визуализации артериального и венозного русла головы, шеи и периферических сосудов. |
| Перфузионная МРТ | Оценка кровотока и перфузионных характеристик тканей при опухолевых и ишемических процессах. |
| МР-спектроскопия | Анализ метаболического профиля тканей (в первую очередь головного мозга) для уточнения характера патологических образований. |
| Кардиологические режимы (cine-МРТ) | Динамическая визуализация сердца и крупных сосудов для оценки сократимости, клапанного аппарата и глобальной функции миокарда. |
| Целотельные протоколы (Whole-body) | Обследование всего тела для онкологического поиска, оценки распространённости процесса и контроля терапии. |
| Динамические контрастные исследования | Серийное сканирование после введения контрастного препарата для оценки васкуляризации, проходимости сосудов и характеристик опухолей. |
| Специализированные протоколы для суставов и позвоночника | Высокодетализированные последовательности для оценки межпозвонковых дисков, суставных поверхностей, связочного аппарата и костного мозга. |
Условия гарантии и сервис
- Гарантийные обязательства производителя Philips на систему и основные узлы с фиксированными сроками и условиями в договоре поставки.
- Пусконаладочные работы, проверка параметров и ввод томографа в эксплуатацию квалифицированными инженерами.
- Первичное обучение персонала работе с системой, базовым протоколам и повседневным процедурам эксплуатации.
- Регламентное техническое обслуживание с контролем параметров магнита, градиентной системы, RF-тракта, систем охлаждения и электропитания.
- Возможность заключения расширенных сервисных программ с планово-профилактическими выездами и сокращённым временем реакции сервисной службы.
- Использование оригинальных запасных частей, расходных материалов и официальных обновлений программного обеспечения Philips.
- Сервисное сопровождение и консультационная поддержка в течение всего срока эксплуатации системы.
Подобрать необходимую комплектацию, уточнить цену и запросить коммерческое предложение на Philips Ingenia Ambition 1.5T X вы можете в компании «АСК Медикал групп» по телефону: 8 (800) 550-25-59 или направив запрос на электронную почту: info@askmg.ru.

