GE Healthcare Venue 50 — портативная УЗ-система для point-of-care с сенсорным управлением и режимом Needle Recognition
Описание GE Healthcare Venue 50
GE Healthcare Venue 50 — планшетная point-of-care платформа с многофункциональным сенсорным интерфейсом, заточенная под быстрое развертывание у постели пациента. Концепция «Simple. Fast. Precise.» реализована через жестовое управление, преднастроенные пресеты и специализированные инструменты визуализации иглы, что уменьшает время на получение диагностически ценных срезов и повышает воспроизводимость манипуляций. Система масштабируется от настольного размещения до стойки с многоразъемным док-модулем и периферией, сохраняя единую логику работы персонала.
Платформа совместима с линейкой датчиков SC-коннектора (линейные, конвексные, секторные, микроконвексные), охватывая ключевые клинические сценарии: регионарная анестезия, доступ к сосудам, ПХВ, MSK, брюшная полость, TTE-скрининг. Гибкие опции сети/экспорта и документирование на уровне консоли упрощают интеграцию в PACS/RIS и типовые маршруты отделений анестезиологии-реаниматологии и приёмных отделений.
Особенности
- Сенсорный интерфейс «single-surface» для быстрой очистки и работы в перчатках.
- Инструменты визуализации иглы (Needle Recognition), CrossXBeam и подавление спекл-шума (SRI).
- Сценарии point-of-care: анестезиология, сосудистый доступ, MSK, ПХВ, абдоминальные исследования.
- Модульность: настольная док-станция, тележка, опция мультипортового дока.
- DICOM и сетевые опции обмена — документирование и экспорт на уровне системы.
Технические характеристики
| Категория | Портативная ультразвуковая диагностическая система (point-of-care) |
| Габариты консоли (Ш×В×Г) | 274 × 282 × 56 мм |
| Масса консоли | ≈ 4,0 кг (с датчиком) |
| Дисплей | 12,1″ LCD, сенсорный, 1024×768 |
| Порты датчиков | 1 порт (опция многоразъёмного док-модуля — до 3 портов) |
| Интерфейсы | USB, SD-носители, Ethernet (на док-станции/тележке), периферия по опциям |
| Питание | Сеть/аккумулятор (Li-ion) |
| Сетевое напряжение / частота / мощность | 100–240 В AC, 50/60 Гц; до 180 В·А |
| Аксессуары | Док-тележка, настольная док-станция, принтер USB, ножная педаль, сканер штрих-кодов |
| Код КТРУ | уточняется по ТЗ и действующему РУ (позиции класса «Система ультразвуковой визуализации») |
| Код ОКПД 2 | 26.60.12.119 — «Аппараты электродиагностические прочие» (окончательная позиция — по ТЗ) |
Габариты, масса, дисплей, питание, режимы и опции док-модуля подтверждены спецификацией GE Venue 50 (Soma Technology datasheet). :contentReference[oaicite:0]{index=0}
Режимы сканирования
| Режим | Описание |
| B-mode | Базовая структурная визуализация тканей для ПХВ и общей диагностики. |
| M-mode | Линейные временные срезы, в т.ч. анатомический M-mode по опции. |
| Color Flow (CFM) | Цветовое картирование кровотока для быстрой навигации. |
| Power Doppler (PDI) | Чувствительная визуализация низкоскоростного потока. |
| PW Doppler | Импульсно-волновой допплер для количественной оценки. (опция) |
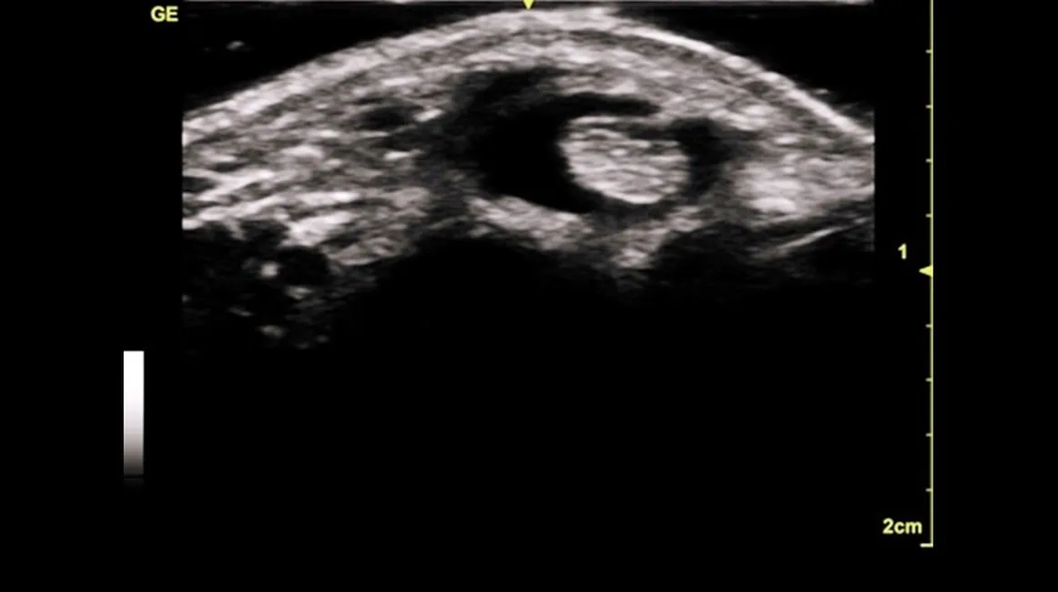
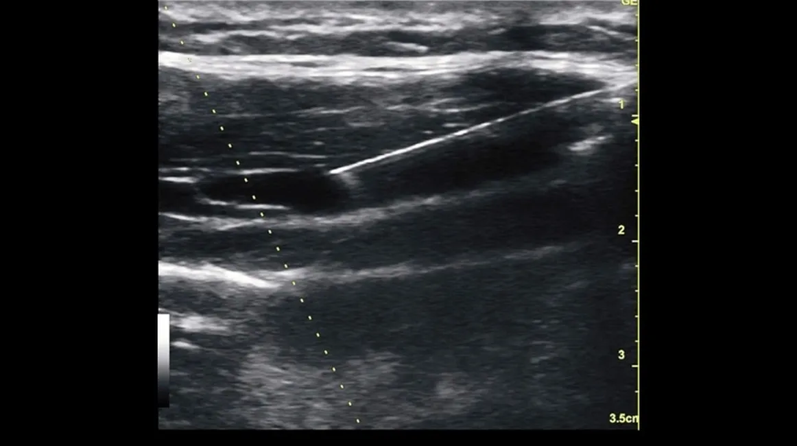
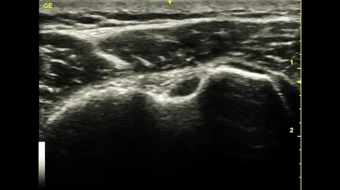
| Needle Recognition | Алгоритм усиления видимости иглы при пункциях и катетеризации. |
Используемые датчики и их технические характеристики
| Название датчика | Частотный диапазон (МГц) | Технология | Кол-во элементов | Область применения | Совместимость с биопсией |
| 12L-SC (линейный) | 8,0–13,0 | Wide-band linear | н/д | Периферические сосуды, нервы, MSK, плевра | многоугл. направл. шаблон |
| L8-18i-SC (высокочаст. линейный) | 8–18 | High-freq linear | н/д | Мелкие структуры, нервы, поверхностные органы | — |
| 3S-SC (секторный) | 1,5–4,0 | Wide-band phased | н/д | Кардиология (TTE скрининг), брюшная полость | многоугл. направл. |
| 4C-SC (конвекс) | 2,5–6,0 | Wide-band convex | н/д | Абдоминальные, тазовые, MSK (тазобедр., позвоночник) | многоугл. направл. |
| 10C-SC (микроконвекс) | 3,48–9,0 | Micro-convex | н/д | Акушерство/гинекология, биопсии тканей | многоугл. направл. |
| E8CS-SC (микроконвекс) | 5,5–10 | Micro-convex | н/д | Педиатрия, малые органы, неонат., интраоперац. | — |
Область применения
- Анестезиология и регионарные блокады, сосудистый доступ под контролем УЗИ.
- MSK и ПХВ, брюшная полость и ургентная ультразвуковая оценка.
- Скрининговая трансторакальная эхокардиография у взрослых/детей (по ТЗ).
Комплектация
- Консоль Venue 50.
- Сетевой адаптер, стартовый комплект кабелей/принадлежностей.
- Док-тележка или настольная док-станция — по спецификации поставки.
- Эксплуатационная документация производителя.
Условия гарантии и сервис
- Гарантийные условия производителя GE Healthcare.
- Пуско-наладка, обучение персонала, плановый сервис — по договору поставки.
- Опции расширения ПО и обучение клиническим протоколам — по запросу.
Техническая документация
Вся документация предоставляется в комплекте с аппаратом или по запросу в электронном формате.
Подобрать необходимую комплектацию, узнать цену и запросить коммерческое предложение на GE Healthcare Venue 50, Вы можете в компании «АСК Медикал групп» по телефону: 8 (800) 550-25-59 или направив запрос на электронную почту: info@askmg.ru.

