Ультразвуковой аппарат GE Healthcare Vivid IQ — премиальная портативная кардиологическая система
Описание ультразвукового аппарата GE Healthcare Vivid IQ
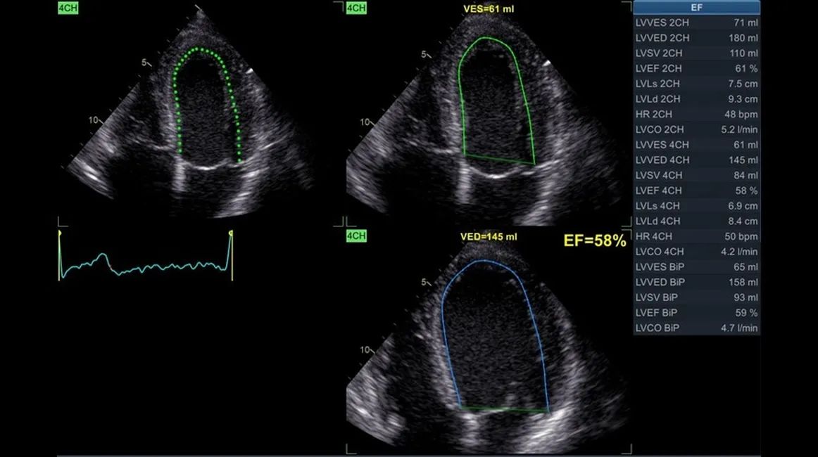
GE Vivid IQ — специализированная сердечно-сосудистая ультразвуковая система премиального уровня, сочетающая портативный форм-фактор с функциональностью полноразмерных кардиоплатформ. Ноутбук-консоль с 15,6" ЖК-экраном и сенсорным управлением обеспечивает комфортный просмотр сложных кардиологических исследований, включая стресс-эхо, TTE и TEE, а также исследования сосудов, брюшной полости и других областей в рамках shared service. Интеллектуальные алгоритмы обработки изображения, автоматическая оптимизация и расширенные инструменты количественного анализа (включая оценку деформации миокарда и автоматические расчеты фракции выброса) помогают стандартизировать протоколы и повышать диагностическую воспроизводимость.
Система предназначена для работы как в стационарной конфигурации на тележке, так и в мобильном режиме — вес консоли около 5 кг и работа от аккумулятора позволяют оперативно переносить аппарат между кабинетами, палатами и операционными. Высотнорегулируемая тележка с держателями для нескольких датчиков и встроенным накопителем обеспечивает удобную организацию рабочего места. Полноценная интеграция по DICOM, поддержка передачи «сырых» данных, работа в сетевой инфраструктуре ЛПУ и совместимость с современными кардиологическими УЗ-датчиками линейки Vivid делают Vivid IQ гибким инструментом для построения единой архитектуры ультразвуковой кардиодиагностики в госпиталях и клиниках различного профиля.
Особенности
- Премиальная портативная сердечно-сосудистая УЗ-система для эхокардиографии, стресс-эхо, TEE и расширенных сосудистых исследований с возможностью shared service-использования.
- Ноутбук-консоль с 15,6" ЖК-дисплеем высокого разрешения и мультисенсорным управлением для удобной навигации и быстрого доступа к ключевым функциям.
- Полноценная работа от аккумулятора с возможностью увеличения времени сканирования при использовании фирменной тележки с дополнительным питанием.
- Эргономичный интерфейс: сенсорный экран, трекпад и панель управления с опорой для кистей, рассчитанные на длительные эхокардиографические исследования.
- Интеллектуальные алгоритмы визуализации и автооптимизации для сложных кардиологических пациентов, включая технологии повышения контрастности и уменьшения шумов.
- Расширенный набор кардиологических и сосудистых расчетов, включая автоматизированные измерения и инструменты для количественной оценки функции миокарда.
- Поддержка многомерной визуализации (включая 4D TEE в соответствующих конфигурациях) для планирования и навигации интервенционных процедур.
- Развитые сетевые возможности и DICOM-функции для интеграции в PACS/RIS/EMR и обмена исследованиями внутри учреждения.
- Компактные размеры и малый вес консоли, удобная тележка с регулируемой высотой и несколькими портами для датчиков для комфортной работы врача.
- Поддержка современных датчиков с технологией XDclear и высокочастотных линейных датчиков для поверхностных и интраоперационных исследований.
Технические характеристики
| Параметр | Значение |
| Производитель | GE Healthcare |
| Страна бренда | США |
| Модель | Vivid IQ |
| Тип системы | Портативная ультразвуковая система в формате ноутбука с тележкой |
| Класс системы | Премиальная сердечно-сосудистая (cardiovascular) УЗ-система с возможностью shared service |
| Основные клинические области | Кардиология (TTE, стресс-эхо, TEE), сосудистые исследования, абдоминальные, педиатрические, неонатальные и общие ультразвуковые исследования |
| Монитор | 15,6" широкоформатный цветной ЖК-монитор с мультисенсорным управлением |
| Тип управления | Сенсорный экран, трекпад (swipe/click), панель управления с функциональными клавишами и опорой для кистей |
| Количество активных портов для датчиков | До 3 портов на тележке (в зависимости от конфигурации) с возможностью быстрой смены датчиков |
| Поддержка многомерной визуализации | Поддержка 3D/4D-режимов, включая 4D TEE (для соответствующих конфигураций и датчиков) |
| Хранение данных | Встроенный твердотельный накопитель, архив изображений и клипов, сохранение «сырых» данных для последующей постобработки |
| Интерфейсы | USB (несколько портов), HDMI/внешний видеовыход, LAN 10/100/1000, разъём ECG (в зависимости от конфигурации) |
| Сетевые функции | DICOM 3.0 (Storage, Worklist, Print, Query/Retrieve, Structured Report — по установленным опциям), потоковая передача данных |
| Электропитание | Питание от сети переменного тока и встроенного аккумулятора консоли; дополнительное питание через тележку |
| Сетевое напряжение / частота | 100–240 В, 50/60 Гц |
| Максимальная потребляемая мощность | До 130 В·А (консоль; без учета внешних периферийных устройств) |
| Габариты консоли (Ш×В×Г) | Примерно 390 × 64 × 362 мм |
| Габариты тележки (Ш×В×Г) | Примерно 525 × 835–1115 × 552 мм |
| Вес консоли | Около 5,2 кг (с аккумулятором) |
| Вес системы на тележке | Около 41 кг (включая тележку, без дополнительных опций) |
| Код ОКПД2 | 26.60.12.132 — Аппараты ультразвукового сканирования |
| Код КТРУ | 26.60.12.132-00000036 — Система ультразвуковой визуализации универсальная, с питанием от сети |
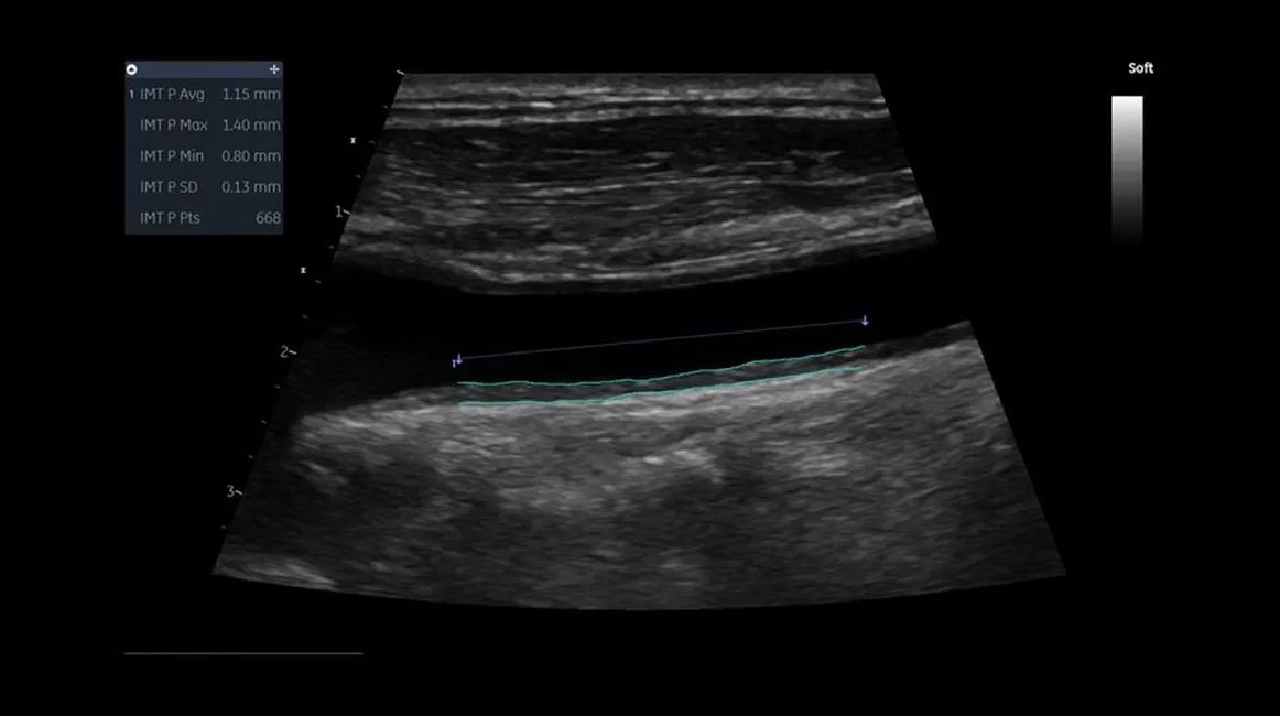
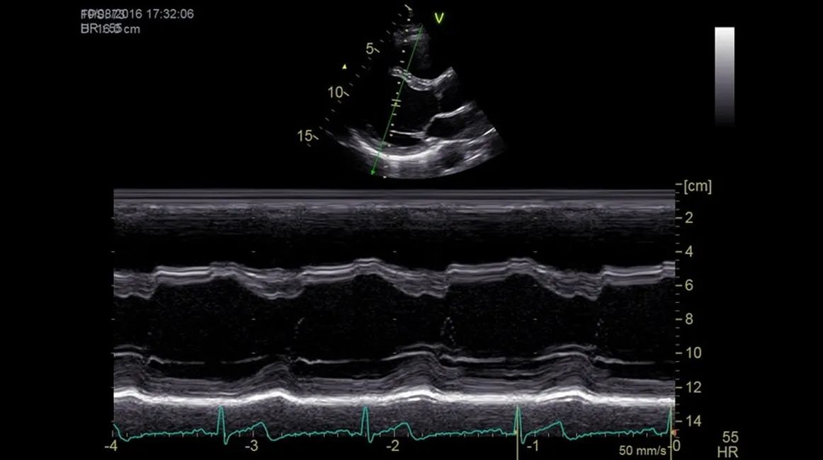
Режимы сканирования
| Режим | Описание |
| B-режим (2D) | Серошкальная визуализация анатомических структур в реальном времени для основной эхокардиографии и общих исследований |
| M-режим | Одномерное отображение движения структур во времени, применяется для анализа клапанов и стенок сердца |
| Цветовой допплер | Цветовое картирование направления и характера кровотока в камерах сердца и сосудах |
| Энергетический допплер | Высокочувствительное отображение низкоскоростного кровотока и мелких сосудов |
| Импульсно-волновой допплер (PW) | Спектральный анализ скорости кровотока в заданном объёме для количественной оценки гемодинамики |
| Непрерывно-волновой допплер (CW) | Измерение высоких скоростей кровотока, в том числе через измененные клапаны и при выраженных градиентах давления |
| Цветовой M-режим | Совмещение M-режима и цветового допплера для визуализации временно́й динамики потоков через клапаны и сосуды |
| Гармоническая визуализация | Использование тканевой гармоники для повышения контрастности и детализации изображения, особенно у сложных пациентов |
| Объемная (3D/4D) визуализация | Реконструкция и динамический просмотр объемных данных, включая 4D TEE, для планирования и навигации интервенционных процедур |
| Специализированные кардиологические режимы | Автоматизированные расчеты (2D Auto EF и др.), режимы оценки деформации миокарда и синхронности сокращений (опционально) |
Используемые датчики и их технические характеристики
| Название датчика | Частотный диапазон (МГц) | Технология | Кол-во элементов | Область применения |
| M5Sc-D (секторный, XDclear) | Около 1,5–4,6 | Matrix single crystal, XDclear | — | Трансторакальная эхокардиография у взрослых и детей, оценка сократимости миокарда, стресс-эхо, часть абдоминальных исследований |
| 3Sc-RS (секторный) | Около 1–4 | Широкополосный фазированный массив | — | Кардиология, абдоминальные исследования, транскраниальная и педиатрическая визуализация |
| L8-18i-RS (линейный высокочастотный) | 4,5–18 | Широкополосный линейный датчик для высокочастотной визуализации | — | Периферические сосуды, малые органы, мышечно-скелетная система, интраоперационные исследования и визуализация поверхностных структур |
| C1-6-D (конвексный, XDclear) | 1,5–6,0 | XDclear конвексный широкополосный датчик | — | Абдоминальные исследования, акушерство и гинекология, урология, фетальная визуализация сердца на базовом уровне |
| Специализированные TEE-датчики (по конфигурации) | Ориентировочно 3–8 | Многоплоскостные TEE-датчики, опционально с поддержкой 4D | — | Трансэзофагеальная эхокардиография (2D/4D TEE) при планировании и контроле интервенционных процедур и кардиохирургических вмешательств |
Область применения
- Эхокардиографические лаборатории многопрофильных стационаров и специализированных кардиоцентров.
- Кардиохирургические операционные и гибридные операционные для интраоперационного УЗ-контроля и TEE.
- Отделения интенсивной терапии и реанимации для эхокардиографии и ультразвуковой оценки гемодинамики у тяжелых пациентов.
- Сосудистые центры и кабинеты ультразвуковой диагностики для комплексной оценки сосудистого русла.
- Амбулаторные и частные клиники, выполняющие расширенный спектр кардиологических и общих УЗ-исследований.
Условия гарантии и сервисное обслуживание
- Гарантийное обслуживание системы и комплектных узлов в сроки и на условиях, установленных производителем и договором поставки.
- Профессиональный ввод в эксплуатацию с проверкой параметров, настройкой сетевых функций и интеграцией в ИТ-инфраструктуру ЛПУ.
- Обучение медицинского персонала работе с интерфейсом и основными кардиологическими и сосудистыми режимами системы.
- Регламентное техническое обслуживание, профилактические проверки и программные обновления с использованием оригинальных комплектующих.
- Возможность расширенных сервисных программ с приоритетным выездом инженера и расширенным перечнем услуг по сопровождению.
Подобрать необходимую комплектацию, уточнить цену и запросить коммерческое предложение на ультразвуковой аппарат GE Healthcare Vivid IQ вы можете в компании «АСК Медикал групп» по телефону: 8 (800) 550-25-59 или направив запрос на электронную почту: info@askmg.ru.

