Ультразвуковой аппарат GE Healthcare Vivid T9 — кардиологическая и общеклиническая УЗИ-система экспертного класса
Описание GE Healthcare Vivid T9
GE Vivid T9 разработан как гибридная система, объединяющая возможности специализированного кардиологического комплекса и универсального ультразвукового аппарата для повседневной практики. Платформа поддерживает полный спектр режимов эхокардиографии, количественный анализ деформации миокарда, автоматизированные измерения камер сердца и клапанов, стресс-эхо и расширенные сосудистые протоколы, что повышает точность диагностики и сокращает время исследования. Интеллектуальные помощники типа Scan Assistant и пакеты автоматизации снижают влияние человеческого фактора, стандартизируют протоколы и помогают формировать воспроизводимые заключения даже при высокой нагрузке отделения.
Система ориентирована на потоковую работу: удобная консоль с регулируемой стойкой, большой диагностический монитор и сенсорная панель обеспечивают быстрый доступ к основным функциям, а эргономичное управление упрощает сложные кардиологические исследования. Платформа поддерживает подключение к информационным системам ЛПУ, полную DICOM-интеграцию, экспорт данных для офлайн-анализа в специализированном ПО EchoPAC и построена на современной архитектуре, устойчивой к дальнейшим обновлениям. В итоге ультразвуковая система Vivid T9 позволяет в рамках одного аппарата закрыть задачи кардиологии, сосудистой диагностики и части общеклинических исследований, сохраняя высокое качество визуализации и стабильность работы.
Особенности
- Гибридное позиционирование: специализированная кардиологическая система с возможностью использования в общей и сосудистой ультразвуковой диагностике.
- Поддержка продвинутого количественного анализа (strain-анализ, AFI, оценка деформации миокарда) по данным эхокардиографии для более точной оценки сократительной функции сердца.
- Автоматизированные измерения камер и клапанов сердца, ускоряющие выполнение стандартных протоколов ЭхоКГ и снижающие вариабельность результатов.
- Набор кардиологических, сосудистых и общеклинических пресетов с возможностью тонкой адаптации под протоколы конкретного отделения.
- Поддержка режима стресс-эхо и контраст-усиленной эхокардиографии (в зависимости от конфигурации), что расширяет диагностические возможности кардиологической службы.
- Гибкая консоль с регулируемой по высоте стойкой и поворотным монитором для комфортной работы врача в различных эргономических сценариях.
- Интеграция с рабочими станциями и PACS через DICOM (Storage, Worklist, MPPS и другие стандартные сервисы) для полноценного включения в ИТ-инфраструктуру ЛПУ.
- Функции энергосбережения и быстрый переход в режим ожидания с сохранением данных обследования для минимизации простоев между пациентами.
- Расширяемость программных опций и совместимость с широким перечнем специализированных кардиологических и линейных датчиков для разных групп пациентов.
Технические характеристики
| Параметр | Значение |
| Производитель | GE Healthcare |
| Страна бренда | США |
| Модель | Vivid T9 |
| Тип / класс системы | Стационарная ультразвуковая система экспертного класса, кардиологическая и универсальная (shared service) |
| Основные клинические области | Кардиология (ЭхоКГ, стресс-эхо), сосудистые исследования, общая абдоминальная и часть общеклинической визуализации |
| Конфигурация | Консольная система на мобильной тележке с интегрированным блоком электроники |
| Диагностический монитор | Широкоформатный ЖК-монитор 21,5", Full HD (1920×1080) |
| Сенсорная панель | Сенсорный дисплей управления 10,1" высокой чёткости |
| Количество портов для датчиков | 4 активных разъёма RS для подключения ультразвуковых датчиков |
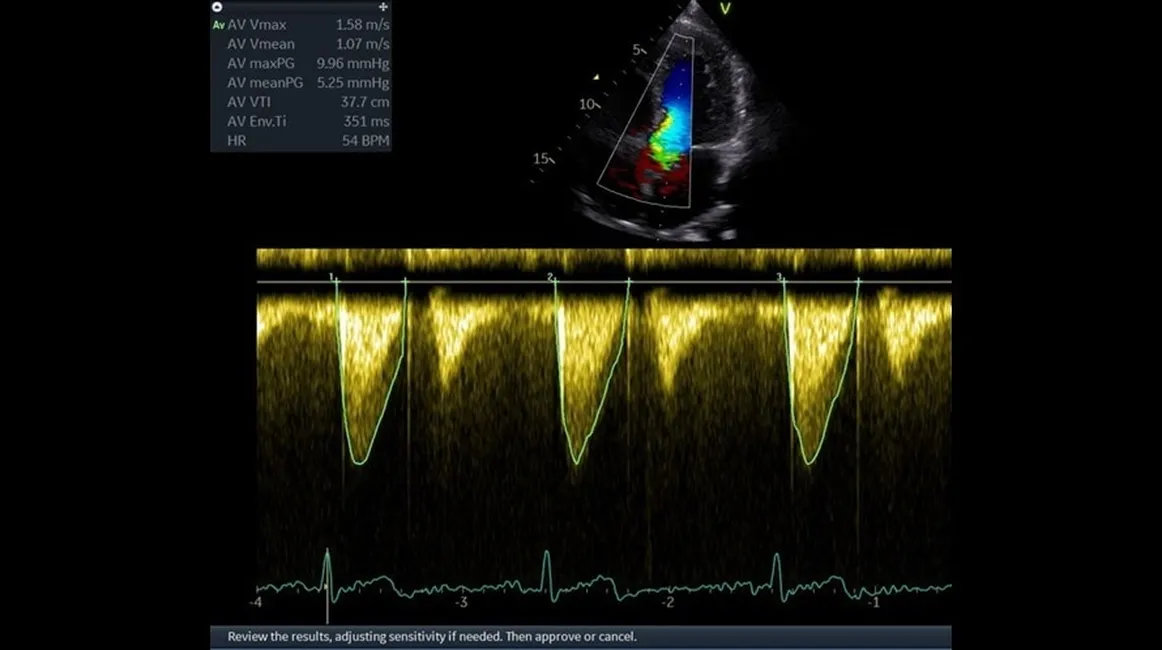
| Режимы визуализации | 2D, M-режим, анатомический M-режим, цветовой и энергетический допплер, импульсно- и непрерывно-волновой допплер, TDI/TVI, расширенные кардиологические режимы (strain, AFI и др.) |
| Количественный кардиологический анализ | Пакеты оценки деформации миокарда, объёмов и фракции выброса, продвинутые инструменты для ЭхоКГ (в зависимости от установленных опций) |
| DICOM-интерфейсы | DICOM Storage, Worklist, Print, MPPS и другие стандартные сервисы (в зависимости от конфигурации) |
| Сетевые интерфейсы | Ethernet (LAN), несколько портов USB, видеовыход (типа DVI/DisplayPort/HDMI — по конкретной поставке) |
| Операционная система | Платформа на базе Windows (актуальные версии для линейки Vivid T9) |
| Встроенное хранилище данных | Жёсткий диск/твердотельный накопитель для сохранения клинических исследований и протоколов (ёмкость зависит от конфигурации) |
| Габариты (Ш×В×Г) | Около 590 × 1405–1775 × 810 мм (основание × регулируемая высота × глубина) |
| Вес | Около 60 кг |
| Сетевое напряжение / частота | 100–240 В, 50/60 Гц |
| Энергосбережение | Поддержка режима ожидания с автоматическим сохранением данных исследования при кратковременном отключении питания |
| Интеграция с рабочими станциями | Совместимость с программным обеспечением EchoPAC и другими решениями GE для офлайн-анализа (по поставке) |
| Код ОКПД 2 | 26.60.12.132 — Аппаратура ультразвуковая диагностическая |
| Код КТРУ | 26.60.12.132-00000011 — Система ультразвуковой визуализации сердечно-сосудистой системы |
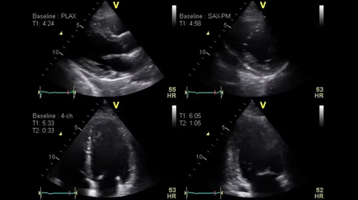
Режимы сканирования
| Режим | Описание |
| 2D (B-режим) | Двухмерная серошкальная визуализация структур сердца, сосудов и органов с высоким пространственным и временным разрешением. |
| M-режим / анатомический M-режим | Линейное и анатомически ориентированное отображение движущихся структур (створки клапанов, стенки желудочков) для точных временных измерений. |
| Цветовой и энергетический допплер | Картирование кровотока в реальном времени с оценкой направления, скорости и характера потока в камерах сердца и сосудах. |
| Импульсно-волновой допплер (PW) | Спектральный анализ локальных потоков для количественной оценки скоростей и расчёта градиентов давления. |
| Непрерывно-волновой допплер (CW) | Измерение высокоскоростных потоков при клапанных пороках и других кардиологических патологиях. |
| Цветной M-режим | Комбинация M-режима и цветового допплера для оценки распространения волн и временных характеристик кровотока. |
| Tissue Velocity Imaging (TDI/TVI) | Оценка скорости движения миокарда и стенок сердца для количественного анализа диастолической функции. |
| Strain / AFI | Режимы деформационного анализа миокарда (Global/Segmental Strain, AFI) для раннего выявления нарушений сократимости. |
| 3D/4D эхокардиография | Объёмная визуализация клапанов и камер сердца (в зависимости от конфигурации и типа подключённых датчиков). |
| Специализированные кардиологические режимы | Набор режимов и инструментов для стресс-эхо, контрастных исследований и расширенных количественных оценок (при наличии соответствующих опций). |
Используемые датчики и их технические характеристики
| Название датчика | Частотный диапазон (МГц) | Технология | Кол-во элементов | Область применения |
| M5Sc-RS (секторный) | 1–5 | Матрица, Single Crystal, XDclear (кардиологическая матричная технология) | — | Взрослая и детская кардиология, абдоминальные исследования, фетальное сердце, транскраниальные исследования (по пресетам системы) |
| 3Sc-RS (секторный) | 1,7–4,0 | Секторная фазированная матрица | — | Кардиология, абдоминальные исследования, транскраниальные исследования |
| C1-6-D (конвексный) | 1–6 | Конвексный датчик с технологией XDclear | — | Абдоминальные исследования, акушерство и гинекология, сосудистые и общеклинические исследования |
| 9L-RS (линейный) | 3–10 (3,33–10,0) | Линейная широкополосная матрица | — | Периферические сосуды, поверхностные структуры, щитовидная железа, мелкие органы, мышечно-скелетная визуализация |
| L8-18i-RS (линейный высокочастотный) | 4,5–18 | Высокочастотная линейная матричная технология | — | Сосудистые исследования, мелкие органы, поверхностные структуры, мышечно-скелетная и интраоперационная визуализация |
Область применения
- Кардиология: стандартная и стресс-эхокардиография, количественная оценка сократимости миокарда, мониторинг пациентов с хронической сердечной недостаточностью и пороками клапанов.
- Сосудистая диагностика: исследования артерий и вен различного калибра, оценка стенозов, тромбозов и нарушений кровотока.
- Общая ультразвуковая диагностика: абдоминальные исследования, щитовидная железа, поверхностные и мягкотканные структуры в рамках работы многопрофильной клиники.
- Педиатрические исследования: эхокардиография у детей, оценка врождённых пороков сердца и сосудов (при использовании соответствующих датчиков и пресетов).
- Специализированные кардиологические центры и отделения функциональной диагностики, где требуется сочетание продвинутой ЭхоКГ и потоковой работы с высокой пропускной способностью.
Условия гарантии и сервисное обслуживание
- Гарантийное обслуживание оборудования в соответствии с условиями производителя и договором поставки (срок и объём оговариваются в коммерческом предложении).
- Пусконаладочные работы, ввод системы в эксплуатацию и обучение персонала работе с аппаратами и программными опциями.
- Регламентное сервисное обслуживание с плановыми выездами инженеров, проверкой параметров, диагностикой и профилактической заменой расходуемых узлов.
- Оперативный выезд сервисного инженера при неисправностях, использование оригинальных запасных частей и расходных материалов.
- Возможность расширенных сервисных программ с фиксированными условиями по времени реакции и срокам восстановления работоспособности системы.
Подобрать необходимую комплектацию, уточнить цену и запросить коммерческое предложение на ультразвуковой аппарат GE Healthcare Vivid T9 вы можете в компании «АСК Медикал групп» по телефону: 8 (800) 550-25-59 или направив запрос на электронную почту: info@askmg.ru.

